ΧΑΡΙΣΙΑΔΗΣ ΚΩΝΣΤΑΝΤΙΝΟΣ

Tabs group καταχώρησης

Επικοινωνία

Υπηρεσίες:

Προσθετική
Στεφάνες - Γέφυρες (ακρυλικές, μεταλλοακρυλικές, μετ/πορσελάνη, ολοκεραμικές, maryland)
Περιοδοντολογία
Αποτρύγωση (καθαρισμός) και στύλβωση οδόντων,
θεραπεία ουλίτιδας και ουλεκτομές, συντηρητική και
χειρουργική θεραπεία περιοδονττιδας, επιμύκηνση μύλης.
Χειρουργική
Απλές εξαγωγές, χειρουργική εξαγωγή ριζών, ημιέγκλειστων
και έγκλειστων δοντιών, χαλινοεκτομές, αφαίρεση υπερπλασιών, φατνιοπλαστικές, αναπλαστικές τεχνικές.
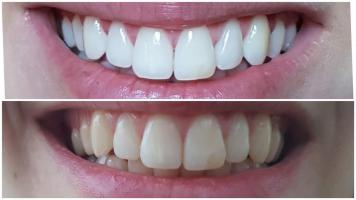
Λεύκανση Δοντιών
Στο οδοντιατρείο με ή χωρίς φωτεινή πηγή
Στο σπίτι από τον ασθενή φορώντας ειδικούς ατομικούς
νάρθηκες λεύκανσης υπό την επίβλεψη του οδοντιάτρου.

  • Ενδοδοντία
  • Αισθητική Οδοντιατρική
  • Εμφυτεύματα
  • Γενικός έλεγχος
  • Καθαρισμός
  • Οδηγίες στοματικής υγιεινής
  • Χειρουργική στόματος / Γναθοχειρουργική
  • Εξαγωγές δοντιών, λόγω τραύματος, τερηδόνας, περιοδοντικής νόσου
  • Ενδοδοντία
  • Οι Απονευρώσεις γίνονται για τη διατήρηση ενός δοντιού, το οποίο έχει καταστραφεί μερικώς
  • Περιοδοντολογία
  • Θεραπεία περιοδοντίτιδας
  • Θεραπεία ουλίτιδας
  • Οδοντική Χειρουργική
  • Sealants (προληπτικές εμφράξεις ή καλύψεις οπών και σχισμών)
  • Εμφράξεις σύνθετης ρητίνης
  • Οδοντικά Εμφυτεύματα
  • Υποκατάστατα των οδοντικών ριζών
  • Ενσωματώνονται στο οστό της άνω ή της κάτω γνάθου,
    έτσι ώστε να μπορούν να γίνουν οι όποιες απαραίτητες προσθετικές εργασίες
  • Προσθετική
  • Στεφάνες, Γέφυρες
  • Ολικές και μερικές Οδοντοστοιχίες
  • Παιδοδοντία / Φθορίωση

 

Διεύθυνση: 
ΜΑΡΑΘΙΑ ΔΩΡΙΔΟΣ,ΦΩΚΙΔΟΣ
Τηλέφωνο: 
Κινητό: